- 登入
- 註冊
甲狀腺低下的表現,令人大吃一驚?

以下何者是甲狀腺低下的表現?
- 持續甲狀腺不足的症狀 (易冷、體重增加、指甲脆、頭髮乾枯)
- 甲狀腺亢進(心悸、胃口上升、燥熱)跟低下的症狀交替反覆?
自體免疫造成的甲狀腺低下
最有名的就是橋本氏甲狀腺炎
起因來自於Anti-TPO, Anti-TG這兩種抗體
當抗體的濃度提升之後,會讓巨噬細胞跟胞殺性T細胞
開始攻擊自身的甲狀腺
但在初期我們還是有足夠的甲狀腺素T4, T3
所以不會有低下等症狀
但當攻擊累積到一定程度的時候
就會讓甲狀腺功能明顯受損
開始出現憂鬱、便秘、體重增加等症狀
但有趣的是,其實甲狀腺細胞受到攻擊的時候
細胞破裂也會釋放出甲狀腺素
所以短暫的低下的症狀就又改善了
症狀上的表現就會是亢進跟低下輪流表現
但到了大部分組織都被破壞殆盡的時候
就是一直保持低下的症狀
臨床上也可能會摸到甲狀腺結節
先來總結一下破壞過程的三大表現
- 抗體過高,但沒有低下症狀
- 抗體過高,開始有低下症狀,但甲狀腺的損傷很少
- 抗體過高,有低下症狀跟明顯的組織損傷
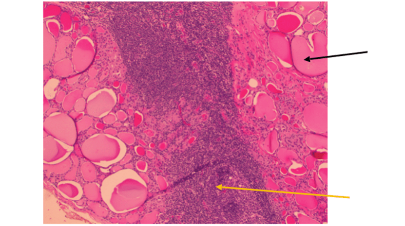
下圖就是顯微鏡下的組織損傷

黑線指的是甲狀腺組織;黃線指的是激戰過後死掉的白血球們
但臨床診斷其實沒有一定需要組織的化驗
至於有沒有必要做超音波呢?
其實能做是會最好
因為可以看到一些組織被破壞的痕跡

但如果真的沒有做超音波
我們也可以從一些徵兆來知道甲狀腺正在被攻擊
像是藥物(Levothyroxine)的需求量在短期內快速爬升
我也在這邊提醒大家
如果真的有以上症狀雷同
不論是懷疑自己亢進或低下或反覆交替
「請第一線要用抽血來做檢查」
因為甲狀腺的問題不只是代謝異常
更會影響到女性荷爾蒙
造成月經不順或是不孕、流產等狀況
不可不慎
想要知道更多賀爾蒙相關檢查
圖片來源:Hashimoto thyroiditis | Radiology Reference Article



