- 登入
- 註冊
體內的多重宇宙? 年輕女性的惡性卵巢腫瘤-不成熟畸胎瘤(Immature teratoma)


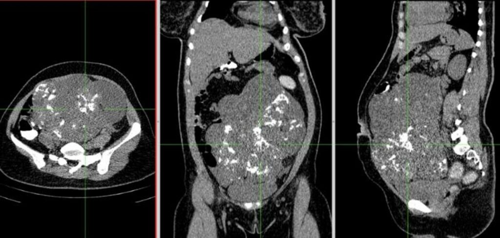
近期聽聞有位朋友的女朋友,年紀約三十歲左右,因為腹脹、痛前往急診就診,觸摸到腹部有一顆突起的腫瘤,超音波一照下去竟是一顆大於十五公分的卵巢腫瘤。後續再安排照過電腦斷層後,才懷疑是一顆惡性的畸胎瘤,也稱為不成熟畸胎瘤(Immature teratoma),需要緊急處置,其實這位女性她在腹痛的症狀出現之前,也有去一般診所就診過,但並未發現問題。
這其實也大大暗示了我們,卵巢腫瘤一直都是女性們隱形的敵人,因為在一般檢查中非常難以察覺,像是子宮內膜癌常常會以陰道出血作為表現;而子宮頸癌也能從國家補助每年一次的抹片中有機會發現,但卵巢癌呢? 如果沒有特別的超音波、電腦斷層檢查,又或者是一些相關的腫瘤指數的抽血、還有未來可能普及於大眾的基因篩檢外,幾乎不會被發現,往往都要等到腫瘤長到一定大小後,不管是卵巢因為重力扭轉造成疼痛、又是壓迫腸道導致便秘、頻尿等症狀,再少者就是真的大到能從腹部觸摸到之外,幾乎不會發現。
而卵巢的惡性腫瘤中,幾乎都是如下圖最右邊,是來自於卵巢的上皮組織分化而來,我們稱為上皮性卵巢癌(Epithelial ovarian cancer),此類卵巢癌約占了整體卵巢癌的80%以上,好發的年紀都是以停經後的婦女,且往往是在60歲以上。

二十到四十歲的女性要注意 – 畸胎瘤
但我們今天聊的是年輕女性的卵巢腫瘤,以”良性”的卵巢腫瘤而言,約有10-20%是所謂的畸胎瘤,是屬於生殖細胞腫瘤的其中一種,也是圖一中的中間Germ cells的部分,聽起來很拗口是吧?
其實我們只要知道我們生物的組成主要分成三個部分
- 外胚層 : 主要形成脊椎、神經、皮膚、指甲、頭髮
- 中胚層 : 形成心臟、腎臟、骨頭、軟骨、肌肉、血管、血球等。
- 內胚層 : 形成呼吸道、腸胃道的上皮細胞(分泌黏液)、肝臟、胰臟、膀胱
而這三種胚層會在胚胎發育時期,往他們應該走的道路前進,尤其在胚胎發育期,這些生殖細胞經由卵黃囊(yolk sac)、腸繫膜,最後降至骨盆腔或陰囊而形成卵巢或睪丸,但有些突變的生殖細胞卻迷途而不知返,隨意亂走,甚至會跨越身體中線,有些生殖細胞腫瘤除好發於性腺(gonad)(男童為睪丸,女童為卵巢)外,也會長在性腺外(extragonadal),今天我們聊的就是受困在某一側的卵巢內並落地生根的生殖細胞腫瘤,在女性生長的過程當中,這些迷途的細胞也緩緩成長,往往都是長大到一定程度因為各種腹部症狀而被檢查出來,我們臨床手術上最常在裡面看到的就是頭髮跟皮脂腺分泌的各種油膩物質(圖二),比較少見的情況也會看到軟骨、牙齒等組織,這類”良性”畸胎瘤我們也叫做皮樣囊腫(Dermoid cyst),因為裡面細胞的分化良好,意思就是生長有循序漸進、沒有要再繼續胡亂生長的意思,通常手術後就解決了,不太會復發,預後非常好,而且這類腫瘤都在相對較年輕的女性族群中發現,約為二十到四十歲。
因為此類腫瘤真的難以發現,而且抽血的腫瘤指數往往也不會高,建議真的只能以常規的健康檢查來做發現,且檢查內容要包含腹部或經陰道的超音波、或是電腦斷層等才能有機會發現,不然發現的時候往往已經長非常大或是已經有症狀了。

畸胎瘤與惡的距離?不成熟畸胎瘤
前面我們聊到過,畸胎瘤是源自於我們的三層胚胎組織,而這些胚胎組織如果開始不按照其正常次序生長,就會生長成”不成熟”畸胎瘤(Immature teratoma),是一種卵巢的癌症!不成熟畸胎瘤雖然只佔了全部卵巢腫瘤中的不到1%;卻是不到二十歲的年輕女性容易得的卵巢惡性腫瘤中的第二名,占了10-20%。
如果年輕時的畸胎瘤沒有發現,有沒有可能在四十歲之後再
轉變為惡性的呢?其實仍是有可能的,但機率非常低只有0.5% – 2%,這種轉變有一個專有名詞稱為Somatic malignancy change,就是體細胞的惡性轉化的意思。
而我們要用什麼來判斷說這個不成熟畸胎瘤的治療成效如何呢
- 腫瘤的分期(Stage) : 第一期最為良性,是指局限於單側或雙側卵巢、輸卵管之中,並沒有破出來,也沒有長到其他的骨盆組織、沒有侵犯到淋巴結或其他遠端的器官。
- 細胞本身的分化情形(Grade) : 我們會用低倍顯微鏡(low-power field),來看看視野中有沒有不成熟的神經上皮(Immature neuroepithelium),如果完全沒有就是Grade 1,這類Grade 1的不成熟畸胎瘤的存活率至少有95%且術後復發的機率非常低;但如果是升級到Grade 2、3的話整體存活率會到85%且未來的復發率也會提升不少。
這種不成熟畸胎瘤根據統計,一年的成長速度約為1.8公厘,比較可能會上升的腫瘤指數是AFP跟LDH,但也非每個人都會上升,但有腫瘤指數上升的案例其實對於醫師來講會比較好,因為我們可以有更多影像以外的工具來追蹤這個腫瘤。

我有不成熟畸胎瘤,是不是不能生孩子了…
女性朋友們先不要太緊張!以統計學來看呢,停經前的女性發現此類腫瘤的時候,都只有影響到單側的卵巢,以Stage I居多,而且因為這類腫瘤侵犯到另一側的卵巢機率很低,所以可以做保留生育的手術(Fertility-sparing surgical staging),意思就是只要切除單側的卵巢即可,不過在2017年的時候Zhao醫師等團隊收錄了1997年到2015年所有早期期別的不成熟畸胎瘤的病患(圖三),發現如果保留卵巢單做囊腫切除術(Cystectomy),其生存率是差不多的。總而言之,如果是早期的不成熟畸胎瘤,未來是可以生育的唷!
但如果是較晚期的畸胎瘤,可能就要會同不孕症科的醫師一起討論該如何保留生育功能了。
不過因為這類腫瘤最常侵犯的地方可能會是腹膜、次常見則是侵犯到淋巴結,所以可能都還是會拿取淋巴結跟大網膜組織來做採樣。
至於有的人會問說,疑那我常常聽說卵巢癌之後要化療呀,那不成熟畸胎瘤需要化療嗎? 通常來說,若是非常早期的不成熟畸胎瘤(Stage IA、Grade 1)是不需要化療的,但假設術後的結果不是這麼早期的腫瘤,化療仍是一個較被推薦的選項。

如果我長過畸胎瘤,會遺傳給下一代嗎?
關於會不會遺傳給下一代,我想也是很多人非常在意的問題,在2020年Heskett醫師針對不成熟的畸胎瘤做了一系列的基因檢測(圖四),而檢測的方式是利用全外顯子定序(WES),用白話翻譯就是我們基因中有1.5%-2%是由外顯子所構成的,而這些比例這麼低的外顯子卻是發號施令來組成我們整個人體的重要關鍵,所以只要針對這些外顯子做檢查就可以找到大部分基因的相關問題。
他們發覺畸胎瘤中體細胞基因變異的比例極低,也沒有發現特別的致病基因(Pathogenic mutations)。
此外他們還發現,大部分畸胎瘤的發生原因來自於減數分裂中的染色體不分離,造成後續的等位基因失衡(Allelic imbalances),總而言之用白話來說,就是這類惡性的畸胎瘤並沒有特別會遺傳的基因,並不用特別害怕會遺傳給下一代喔!


總結
這類腫瘤因為相對少見,所以處置上除了看標準療程之外,也很看該領域婦癌專家的治療經驗,強烈建議一定要好好跟你的主治醫師一起討論,因為每個人每個腫瘤的表現都不一定相同,最後,就卵巢腫瘤來說,年紀會是我們參考的一個很主要的因素。
也因為年輕,所以大部分人都還很少去做健康檢查,常常會因此錯失診斷此類疾病的機會,我建議年輕女性,在21歲以上除了抹片檢查之外,也可以定期每幾年送自己一個健康檢查當作生日禮物,畢竟不怕一萬、只怕萬一。
我也希望那位朋友的女朋友後續治療能夠順利,今天就拋磚引玉,把這個疾病分享給大家,請大家再幫我分享給周遭需要的人囉!



